收藏本站
热门搜索: A3500  E1910  A1360  25200056  dmem  

Mouse Interleukin-3 (mIL-3)

 
包装:
运保温度: 4ºC
到货周期: 登录后查看
标准价: ¥客户可见
会员价: ¥客户可见
积分: 客户可见
 
登录之后可加入购物车购买,请您 
对比 收藏

运费与支付说明:

1.含干冰类产品有运费;

2. 必须现金付款或有信用额度的会员才可以直接发货,否则需要等待现金付款信息。

描述:

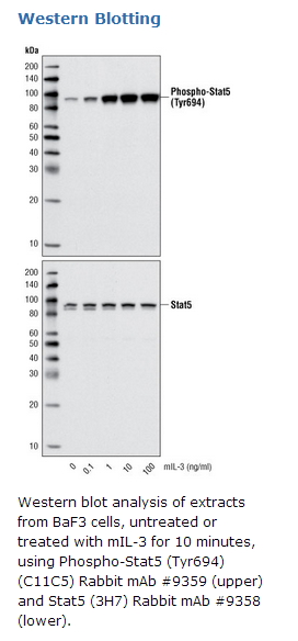
CST公司生产的鼠源重组蛋白白介素-3 (mIL-3) Ala27-Cys166 (Accession # NM_010556)是从大肠杆菌中表达而来。重组的mIL-3蛋白在末端没有标签,其分子量据推算为15,674Da。DTT-还原蛋白作为一个16kDa的蛋白而转移,未还原的蛋白由于具有分子内的胱氨酸而作为14kDa多肽迁移。重组mIL-3蛋白的N-末端ASISG的序列通过测序得到。6 μg 还原 (+) 和 非还原的(-) mIL-3通过SDS-PAGE检测,纯度大于98%,所有批次的纯度均高于98%。重组蛋白mIL-3的生物活性是通过MC/9和BaF3细胞的增殖实验确定的。在MC/9细胞中每个批次的ED50值在2-50 pg/ml之间,在BaF3细胞中每个批次的ED50值在20-90pg/ml之间。内毒素含量:小于0.01 ng /1 μg mIL-3。

有载体: 每微克mIL-3蛋白溶解在包含 20 μg BSA的PBS(pH 7.2)溶液中,并通过 0.22 μm 滤膜冻干。

无载体:每微克mIL-3蛋白溶解在PBS(pH 7.2)溶液中,并通过 0.22 μm 滤膜冻干。

IL-3是通过T细胞、肌肉细胞和噬曙红细胞而产生的(1)。目标细胞包括造血原细胞、嗜中性粒细胞、巨噬细胞、肌肉细胞、噬曙红细胞、淋巴细胞和色调微红细胞(1)。IL-3支持生长和分化并且作为很多类型细胞的培养基的添加成分(1)。IL-3受体是一个异源二聚体包含IL-3 特异的α-链和普遍存在的β-链, βc, 也被GM-CSF 和 IL-5所利用 (1)。IL-3特异性的βIL-3-链可替换βc并参与到IL-3的结合中 (1,2)。IL-3结合到其同类的受体上诱导了Jak2的激活,磷酸化多个Stats (1,3,5,6), 和 PI3K/Akt信号通路(1)。IL-3在气管炎症引发的哮喘过程中有重要的作用(3,4,5)。


注意事项:

Storage: Stable in lyophilized state at 4ºC for 1 year after
receipt. Sterile stock solutions reconstituted with carrier protein
are stable at 4ºC for 2 months and at -20ºC for 6 months. Avoid
repeated freeze-thaw cycles.


相关图片

说明书

参考文献

本产品可用于的实验

购此产品的人还购买了
最近浏览产品

京ICP备15036693号-2    京公网安备11010802025653    版权所有:北京逸优科技有限公司       0.05

 纠 错