收藏本站
热门搜索: A3500  E1910  A1360  25200056  dmem  

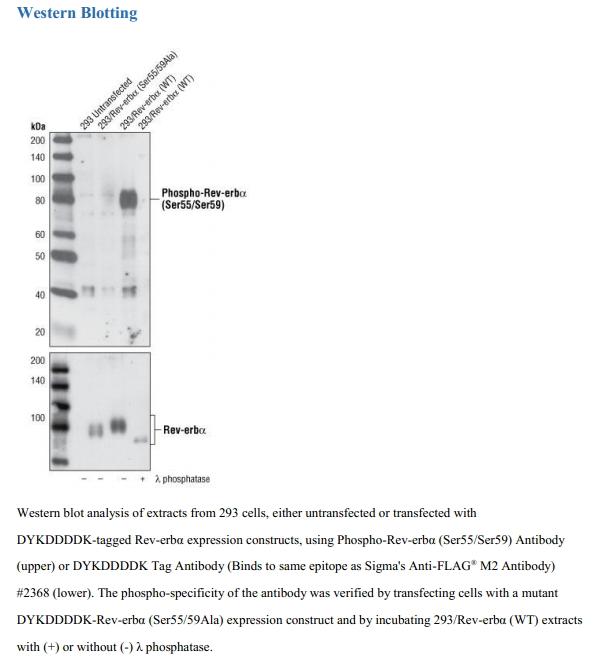
Phospho-Rev-erbα (Ser55/59) Antibody

  • 产品编号:CST-2129S      品牌:CST       原厂货号:2129S
  • 产品分类:抗体 > 一抗 > 磷酸化抗体
  • 应用分类:
 
包装:
运保温度: –20°C
到货周期: 登录后查看
标准价: ¥客户可见
会员价: ¥客户可见
积分: 客户可见
 
登录之后可加入购物车购买,请您 
对比 收藏

运费与支付说明:

1.含干冰类产品有运费;

2. 必须现金付款或有信用额度的会员才可以直接发货,否则需要等待现金付款信息。

描述:

当丝氨酸(55/59位)磷酸化时,Phospho-Rev-erbα (Ser55/59) Antibody能够检测转染水平的Rev-erbα蛋白。该抗体不与其他核受体蛋白包括Rev-erbβ,发生交叉反应。该多克隆抗体通过用合成磷酸肽免疫动物制备,该合成磷酸肽是人Rev-erbα丝氨酸(55和59位)附近的残基。抗体是由蛋白A和肽亲和层析纯化。

反转定向c-erbA基因α(Rev-erbα, EAR-1或 NR1D1)是一种广泛表达的孤儿核受体蛋白家族成员(1)。Rev-erbα在脂肪组织、骨骼肌、脑和肝中高表达,并调节细胞的增殖和分化。在脂肪细胞分化过程中表达增加,REV-erbα异位表达会增强3T3-L1细胞向脂肪细胞分化(2)。此外,REV-erbα在肝细胞内按昼夜节律振荡表达,并调控BMAL1、ApoA-I和ApoC-III,所有关键调节器都是昼夜节律表达(3,4,5,6,7)。由GSK3β磷酸化REV-erbα的丝氨酸(55和59位),表现出稳定的REV-erbα蛋白质水平,在生物钟的同步和维持中很重要(8)。同样,REV-erbα针对NF-κB应答基因IL-6和COX-2调节炎症(9)。 REV-erbα缺乏激活功能2结构域,这对核受体其他家族成员的配体依赖型转录激活是需要的;因此它作为阻遏蛋白起作用,招募核受体辅阻遏物(N-COR)/ HDAC3复合物的靶基因,抑制转录(10)。

  1. Harding, H.P. and Lazar, M.A. (1993) Mol Cell Biol 13, 3113-21.
  2. Chawla, A. and Lazar, M.A. (1993) J Biol Chem 268, 16265-9.
  3. Torra, I.P. et al. (2000) Endocrinology 141, 3799-806.
  4. Preitner, N. et al. (2002) Cell 110, 251-60.
  5. Vu-Dac, N. et al. (1998) J Biol Chem 273, 25713-20.
  6. Coste, H. and Rodríguez, J.C. (2002) J Biol Chem 277, 27120-9.
  7. Raspé, E. et al. (2002) J Lipid Res 43, 2172-9.
  8. Yin, L. et al. (2006) Science 311, 1002-5.
  9. Migita, H. et al. (2004) FEBS Lett 561, 69-74.
  10. Yin, L. and Lazar, M.A. (2005) Mol Endocrinol 19, 1452-9.


注意事项:

For Research Use Only. Not For Use In Diagnostic Procedures.

Storage: Supplied in 10 mM sodium HEPES (pH 7.5), 150 mM
NaCl, 100 µg/ml BSA and 50% glycerol. Store at –20°C.
Do not aliquot the antibody.


相关图片

本产品可用于的实验

购此产品的人还购买了
最近浏览产品

京ICP备15036693号-2    京公网安备11010802025653    版权所有:北京逸优科技有限公司       0.13

 纠 错