收藏本站
热门搜索: A3500  E1910  A1360  25200056  dmem  

ANTI-HU SYNAPTOPHYSIN EP10 PUR 100UG

  • 产品编号:14-6525-82      品牌:Thermo试剂       原厂货号:14-6525-82
  • 产品分类:抗体 > 一抗 > 蛋白特异性一抗
  • 应用分类:
 
包装:
运保温度: 2-8℃
到货周期: 登录后查看
标准价: ¥客户可见
会员价: ¥客户可见
积分: 客户可见
 
登录之后可加入购物车购买,请您 
对比 收藏

运费与支付说明:

1.含干冰类产品有运费;

2. 必须现金付款或有信用额度的会员才可以直接发货,否则需要等待现金付款信息。

描述:

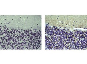
Description: This EP10 monoclonal antibody reacts with human Synaptophysin, which is also known as Major Synaptic Vesicle Protein p38. This 38-kDa integral membrane protein is expressed on neuronal presynaptic vesicles in the brain, spinal cord, retina, neuromuscular junctions, and adrenal medulla. Synaptophysin is also expressed in neuroendocrine tumors and neuroblastomas. Synaptophysin has been reported to play a role in synaptic vesicle trafficking.


相关图片

说明书

参考文献

本产品可用于的实验

购此产品的人还购买了
最近浏览产品

京ICP备15036693号-2    京公网安备11010802025653    版权所有:北京逸优科技有限公司       2.01

 纠 错